Palate Expanders

Creating space for healthy tooth alignment

Treatment

What is a Palate Expander?

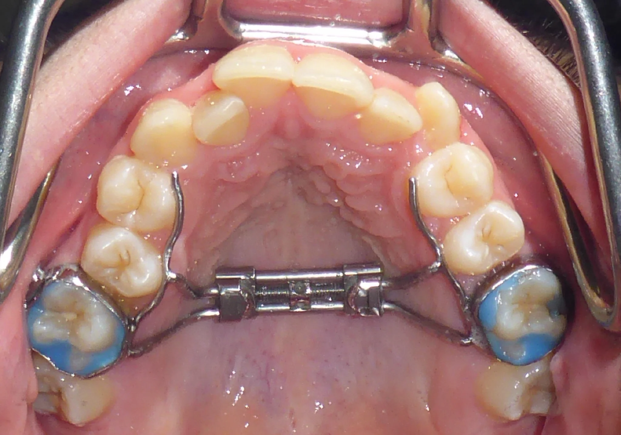
A palate expander (also called a rapid palatal expander or RPE) is an orthodontic device used to widen the upper jaw. It's attached to the upper molars and works by gently separating the bones of the palate.

Expanders are most effective in growing children, as their bones are still developing and can be more easily adjusted. This treatment can help avoid tooth extractions and create space for proper alignment.

βœ“

Creates Space

Makes room for crowded teeth

βœ“

Improves Bite

Corrects crossbites and narrow arches

βœ“

Avoids Extractions

May eliminate need to remove teeth

Palate Expander
Instructions

Expander Care & Turning Instructions

Follow these guidelines carefully for the best results

πŸ”‘ How to Turn Your Expander

You will be given a special key to turn the expander. Follow these steps:

  1. Have good lighting - Use a flashlight or stand in good light so you can see the expander clearly
  2. Insert the key - Place the key in the hole in the center of the expander
  3. Push toward the back - Gently push the key toward the back of the mouth until you see the next hole appear
  4. Remove the key - Push down and back to remove the key
  5. Record each turn - Keep track of turns on the chart we provide

Turn schedule: Turn the expander as directed by your doctor - typically once or twice per day. Do NOT skip turns or do extra turns.

😊 What to Expect

  • Pressure - You may feel pressure on your teeth, roof of mouth, and even behind your eyes/nose. This is normal.
  • Gap between front teeth - A space may develop between your front teeth. This is a sign the expander is working! The gap will close on its own or be closed with braces.
  • Speech changes - You may lisp or have trouble with certain sounds at first. Practice reading aloud and this will improve.
  • Extra saliva - Your mouth may produce more saliva initially. This will decrease.
  • Soreness - Some discomfort is normal. Over-the-counter pain relievers can help.

🍎 Eating with an Expander

  • Soft foods first - Stick to soft foods for the first few days
  • Cut food into small pieces - Avoid biting into hard foods
  • Avoid sticky foods - Caramel, gum, and taffy can damage the expander
  • No hard foods - Avoid ice, hard candy, and nuts
  • Food may get stuck - Rinse and brush after meals to remove trapped food

πŸͺ₯ Cleaning Your Expander

  • Brush after every meal - Use a regular toothbrush to clean around the expander
  • Water pik/flosser - Great for flushing out food from around the expander
  • Rinse with mouthwash - Helps keep the area clean and fresh
  • Don't forget the roof of your mouth - Food can collect there too

Questions or problems? Contact us!
πŸ“ž Glendale: (718) 386-8728
πŸ“ž Garden City: (516) 265-1535

Have Questions About Expanders?

Contact us or schedule an appointment to learn more about expander treatment.